Ca song thai cực hiếm gặp, cùng trứng nhưng khác kiểu gene
Chiều 9/11, Bệnh viện Phụ sản Hà Nội công bố một ca mang song thai cùng trứng nhưng khác nhau về kiểu hình, kiểu gene. Đây là ca đặc biệt lần đầu tiên ghi nhận tại Việt Nam.
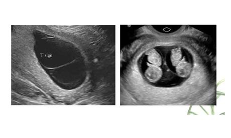
Thai phụ 23 tuổi quê ở Nam Định mang thai lần đầu tự nhiên. Thai phụ đến Đơn vị Can thiệp bào thai, Bệnh viện Phụ sản Hà nội thăm khám ở tuần thai 16 vì có 1 thai phù (thai A - pv).
Kết quả siêu âm cho thấy song thai có chung một bánh rau, hai buồng ối từ tuần thai thứ 8. Sau khi hội chẩn, siêu âm và chọc ối phát hiện thai A phù thai, giới tính nữ, kiểu gene nữ Turner(45,X).
Thai B bình thường về mặt hình thái, giới tính trên siêu âm là nam, kiểu gene nam (46,XY). Các xét nghiệm di truyền chuyên sâu khác cũng đã được thực hiện và chứng minh rằng 2 thai này chung 1 trứng nhưng có kiểu gene khác nhau.
Các xét nghiệm di truyền chuyên sâu khác cũng đã được thực hiện và chứng minh rằng hai thai chung một trứng, cùng bánh nhau nhưng có kiểu gene khác nhau.
Theo tài liệu y văn trên thế giới, song thai cùng trứng giống nhau hoàn toàn về kiểu gene và kiểu hình, cùng giới tính.
Tuy nhiên, siêu âm tuần thứ 18 cho thấy thai nhi bệnh lý phù thai nặng, đã có dấu hiệu thai lưu. Sau khi nhận được tư vấn của các bác sĩ, gia đình quyết định đình chỉ thai nghén.
"Mặc dù cặp song sinh không thể ra đời nhưng đây là trường hợp cực hiếm, minh chứng cho thấy vẫn có một số trẻ song thai cùng trứng nhưng không giống nhau 100% về kiểu gene và kiểu hình", bác sĩ Nguyễn Thị Sim, Phụ trách Trung tâm Can thiệp bào thai, BV Phụ sản Hà Nội thông tin.

TS.BS Nguyễn Thị Sim cho biết: “Đây là trường hợp đặc biệt hiếm trên thế giới. Ca bệnh đã được hội chẩn, tư vấn kỹ, chỉ định các xét nghiệm di truyền chuyên sâu hiện đại ngay từ trong bụng mẹ và ra được kết quả bất thường”.
Các chuyên gia cũng cho rằng, việc xác định nguyên nhân dẫn đến việc kết hợp nhiều bất thường của trường hợp này rất khó; có thể loại trừ nguyên nhân có sẵn từ bố mẹ. Đây là những trường hợp đột biến mới phát sinh.
Theo PGS.TS Nguyễn Duy Ánh, Giám đốc Bệnh viện Phụ sản Hà Nội, qua trường hợp này cho thấy, khi có những ca bất thường cần xét nghiệm di truyền; không phải cứ sinh đôi cùng trứng là giống nhau, tránh bỏ qua những ca bệnh hiếm, những bất thường về mặt di truyền.
Theo đó, ca hi hữu đặc biệt này đã cung cấp một góc nhìn hoàn toàn mới, chuyên sâu và rộng hơn cho ngành Di truyền học và ngành Sản phụ khoa.














