Cứu sống người đàn ông tràn mủ màng phổi sau chấn thương
Mới đây, các bác sĩ Bệnh viện đa khoa (BVĐK) Đức Giang đã thành công cứu sống 1 bệnh nhân cao tuổi bị tràn dịch màng phổi sau chấn thương do ngã trong nhà vệ sinh.
Bệnh nhân là ông N.V.S (75 tuổi, trú tại Long Biên, Hà Nội). Bệnh nhân bị ngã trong nhà tắm, được gia đình phát hiện và đưa vào Khoa Cấp cứu BVĐK Đức Giang trong tình trạng lơ mơ, ý thức chậm, đáp ứng kích thích kém, suy hô hấp, khó thở (thở nhanh 35-40l/p, Sp02 70%) kèm theo hội chứng 3 giảm (giảm thông khí, rì rào phế nang, gõ đục). Trước đó bệnh nhân đã có tiền sử phải điều trị tiểu đường nhiều năm, khó kiểm soát đường máu và từng phẫu thuật viêm tụy không rõ nguyên nhân cách đây 5 năm.
Sau khi xét nghiệm và thực hiện các cận lâm sàng cần thiết, phát hiện tình trạng tràn mủ phổi phải cùng nhiều ổ áp xe, đông đặc thùy dưới phổi trái, chẩn đoán bệnh nhân bị hôn mê CRNN - suy hô hấp cấp, các bác sĩ đã tiến hành cấp cứu rồi chuyển lên điều trị tại khoa Hồi sức tích cực - Chống độc.

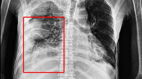
Tại đây, mặc dù các bác sĩ đã tiến hành đặt ống nội khí quản, hỗ trợ thở máy, góp phần cải thiện chỉ số oxy trong máu (Sp02) lên khoảng 88-90%, nâng áp lực dương cuối thở ra (Peep) lên cao nhưng phổi của bệnh nhân vẫn không nở đều. Kết quả chụp CT-Scanner 32 cho thấy hình ảnh tràn dịch khoang màng phổi hai bên gây xẹp thụ động nhu mô phổi lân cận, giãn các nhánh phế quản phải trong vùng nhu mô phổi xẹp. Xuất hiện hạch trung thất và hạch hố thượng đòn phải. Tiên lượng tử vong cao nếu không khẩn trương xử trí sạch ổ cặn, kích phổi phải giãn nở tốt đáp ứng thông khí.
Trước tình huống nguy cấp, các bác sĩ đã nhanh chóng hội chẩn, lập tức tiến hành phẫu thuật để cứu sống người bệnh. Ca phẫu thuật do bác sĩ Nguyễn Văn Lâm - Khoa Ngoại tổng hợp phụ trách cùng kíp trực đã tiến hành mở khoang liên sườn V bên phải, quan sát thấy màng phổi, lá thành lá tạng dính chặt thành một khối, các phân thùy phổi dính chắc vào lá thành màng phổi kèm 4 ổ mủ và cặn khu trú, áp-xe hóa.
Các bác sĩ đã phẫu tích gỡ dính, bơm rửa, bóc tách và vệ sinh các ổ mủ, ổ cặn di động khu trú, khâu phục hồi các nhu mô tổn thương gây rò khí, chảy máu. Sau khi các ổ cặn được làm sạch, phổi của bệnh nhân S. đã giãn nở tốt, Sp02 được nâng lên, duy trì ổn định ở mức 98 -99%.

Năm ngày sau mổ, sức khỏe bệnh nhân đã ổn định dần. Các chỉ số nhiễm trùng đã giảm. Sp02 duy trì ở mức 98%, khả năng hô hấp đã cải thiện hơn, chỉ cần hỗ trợ thở không xâm nhập. Tuy nhiên do người bệnh vẫn còn tình trạng thiếu máu nên được giữ lại tiếp tục theo dõi điều trị thêm. Dự kiến bệnh nhân sẽ được xuất viện sau 2 tuần điều trị.
BS Nguyễn Văn Lâm khuyến cáo thêm: "Chấn thương là điều không ai mong muốn. Với những trường hợp tuổi tác đã cao, lại thêm bệnh lý nền tiềm ẩn như ông S, sau khi bị chấn thương bất kể vì lí do gì, nếu cảm thấy nghi ngờ phải sớm đưa đến các cơ sở y tế uy tín để kiểm tra và kịp thời xử trí, tránh các biến chứng đáng tiếc có thể xảy ra."














